脳動脈瘤
脳動脈瘤には破裂していない未破裂脳動脈瘤と破裂脳動脈瘤(クモ膜下出血)があります。クモ膜下出血に関しては、別途こちらをご参照ください。
脳動脈瘤は脳ドックや頭部打撲などによりMRIを施行した際に、たまたま見つかることも多いかと思います。医師から脳動脈瘤があり、クモ膜下出血の可能性があると言われた方は、多かれ少なかれ不安になりとても落ち込まれるのではないかと思います。動脈瘤がいつ破裂するか?自分の動脈瘤が破裂するのかどうか?は誰にもわかりません。
このため、小生は脳動脈瘤の破裂しやすさと治療しやすさを天秤にかけたお話をするように心がけております。少しでも多くの方が、納得して脳動脈瘤を治療する、あるいは経過観察することが重要だと考えております。
治療方法としては、頭蓋骨を開けて、動脈瘤の根本に洗濯バサミのようなクリップをかけて破裂を予防する開頭クリッピング術と、太ももの血管からカテーテルという細いチューブを動脈瘤に入れて、中からコイルという金属の糸くずを入れていって中から固めるコイル塞栓術が存在します。内服治療や放射線治療では治癒せず、どちらかの手術を施行しない場合は経過観察を施行することとなります。
それぞれの手術には利点と欠点が存在します。印象としては6割程度の患者さんはどちらの治療法でもよく、2割の方はクリッピングがよく、残り2割の方はコイル塞栓術がよいといった印象です。それぞれの利点と欠点を十分にご理解いただいて、経過観察も含めて方針を選択されるのがよろしいかと思います。
- クリッピングの利点
- クリッピングは直接的に動脈瘤を見ながら処置するために、トラブル時の対応が優秀であることと、治療すれば再発しないことが非常に優秀な治療法です。また、必要時にはバイパスを併用することによって血流不足の血管に血液を補うことも可能です。
- クリッピングの欠点
- 頭をあけるために、その侵襲が最大の欠点となります。単純に頭をあけるのは嫌!といった理由の方も数多くいらっしゃいます。また、術後出血や感染症はカテーテル治療では少ないので、これらも欠点の一つであると考えています。

クリッピング時の様子
- コイル塞栓術の利点
- 一番の利点は、脳を触らずに血管の中から動脈瘤を治療できることです。治療時間も一般的にクリッピングより短時間であることが多く(2時間程度)、入院期間も短く(1週間程度)、体への負担が少ないです。ステントやフローダイバーターの登場により治療可能な動脈瘤の種類も増えております。
- コイル塞栓術の欠点
- 脳の血管の中から治療するために、血液と反応して血栓ができ、このために問題が生じることがあります。これを回避するために、抗血小板薬という血液サラサラの薬を1−3週間前から2種類内服していただき、その後も一定期間の内服が必要となります。血液サラサラというと聞こえは良いですが、出血リスクを増やす可能性もありますので、慎重に治療していく必要があります。また、コイル塞栓術は体への負担は少ないですが、クリッピングに比べて絶対に安全であるというわけではありません。よく担当医の説明を聞いていただき、ご理解していただいたほうが良いかと思います。

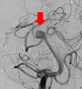
脳動脈瘤

動脈瘤の中に入っているコイル

治療後コイルによって動脈瘤が見えなくなっています